Mài cùi răng cửa là một trong những quy trình nha khoa phổ biến mà nhiều người có thể cần đến trong cuộc sống hàng ngày. Quy trình này thường được thực hiện nhằm cải thiện hình dáng, kích thước hoặc màu sắc của răng cửa. Trong bài viết này, chúng ta sẽ cùng tìm hiểu về mài cùi răng cửa, lý do cần thực hiện cũng như quy trình thực hiện để đảm bảo bạn có thể đưa ra quyết định đúng đắn cho sức khỏe răng miệng của mình.
1. Mài Cùi Răng Cửa Là Gì?
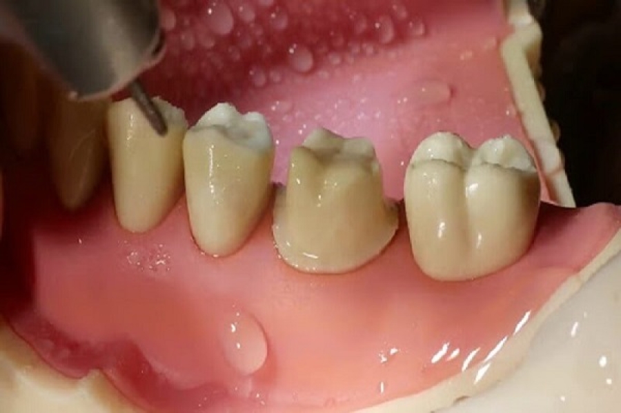
Mài cùi răng cửa là quá trình làm giảm kích thước hoặc điều chỉnh hình dạng của cùi răng (phần răng còn lại sau khi lấy tủy) để chuẩn bị cho việc phục hình răng, như làm mão răng hoặc bọc răng sứ. Quy trình này thường được thực hiện bởi nha sĩ chuyên khoa, nhằm tạo ra một bề mặt chắc chắn và đều đặn để gắn các vật liệu phục hình.

2. Tại Sao Cần Mài Cùi Răng Cửa?
2.1. Cải Thiện Hình Dáng Răng
Một trong những lý do chính để mài cùi răng cửa là cải thiện hình dáng và kích thước của răng. Nếu bạn có răng cửa bị mẻ, sâu hoặc không đều, quá trình này có thể giúp bạn có được nụ cười tự tin hơn.
2.2. Chuẩn Bị Cho Phục Hình
Khi cần làm mão răng hoặc bọc răng sứ, việc mài cùi răng cửa là rất quan trọng. Nó giúp tạo ra một bề mặt đều đặn để vật liệu phục hình có thể bám chắc và không bị bong tróc.
2.3. Giảm Đau và Khó Chịu
Nếu răng cửa của bạn bị sâu hoặc có vấn đề về tủy, mài cùi răng có thể giúp giảm đau và khó chịu. Nha sĩ có thể loại bỏ phần răng bị tổn thương và đảm bảo rằng phần còn lại của răng khỏe mạnh hơn.
3. Quy Trình Mài Cùi Răng Cửa
Quy trình mài cùi răng cửa thường diễn ra theo các bước sau:
3.1. Khám và Đánh Giá
Trước khi thực hiện mài cùi răng, nha sĩ sẽ tiến hành khám và đánh giá tình trạng răng miệng của bạn. Họ sẽ chụp X-quang và kiểm tra kỹ lưỡng để xác định mức độ tổn thương của răng.
3.2. Gây Tê
Để đảm bảo bạn không cảm thấy đau trong suốt quá trình, nha sĩ sẽ tiến hành gây tê tại chỗ. Điều này giúp bạn cảm thấy thoải mái hơn khi thực hiện quy trình.
3.3. Mài Cùi Răng
Sau khi gây tê, nha sĩ sẽ sử dụng các công cụ chuyên dụng để mài bớt cùi răng. Quá trình này thường diễn ra nhanh chóng và không gây đau đớn.
3.4. Kiểm Tra và Hoàn Tất
Sau khi mài, nha sĩ sẽ kiểm tra lại hình dáng và kích thước của cùi răng để đảm bảo đạt tiêu chuẩn. Nếu cần thiết, họ sẽ điều chỉnh thêm cho đến khi bạn hài lòng.

4. Lợi Ích Của Mài Cùi Răng Cửa
4.1. Nâng Cao Tính Thẩm Mỹ
Mài cùi răng cửa giúp bạn có được nụ cười đẹp hơn, tự tin hơn trong giao tiếp hàng ngày.
4.2. Tăng Cường Chức Năng Nhai
Răng cửa khỏe mạnh không chỉ đẹp mà còn giúp cải thiện chức năng nhai, từ đó góp phần vào sức khỏe tổng thể.
4.3. Duy Trì Sức Khỏe Răng Miệng
Việc mài cùi răng cửa giúp loại bỏ các phần răng bị hư hỏng, từ đó ngăn ngừa tình trạng sâu răng hoặc các vấn đề nha khoa khác.
5. Lưu Ý Khi Quyết Định Mài Cùi Răng Cửa
Trước khi quyết định thực hiện mài cùi răng cửa, bạn cần lưu ý một số điều sau:
- Chọn Nha Sĩ Uy Tín: Đảm bảo rằng bạn chọn nha sĩ có kinh nghiệm và uy tín trong lĩnh vực này.
- Tư Vấn Kỹ Lưỡng: Hãy hỏi nha sĩ về quy trình, chi phí và những rủi ro có thể xảy ra để có cái nhìn tổng quát nhất.
- Chăm Sóc Sau Khi Mài: Sau khi mài cùi răng, hãy tuân thủ các hướng dẫn chăm sóc răng miệng từ nha sĩ để đảm bảo kết quả tốt nhất.
Mài cùi răng cửa là một quy trình quan trọng trong nha khoa, giúp cải thiện không chỉ về mặt thẩm mỹ mà còn về chức năng của răng. Nếu bạn đang gặp vấn đề với răng cửa của mình, hãy tìm đến nha sĩ để được tư vấn và điều trị kịp thời. Hãy nhớ rằng, một nụ cười đẹp bắt đầu từ việc chăm sóc sức khỏe răng miệng đúng cách!

